インプラント
NEW
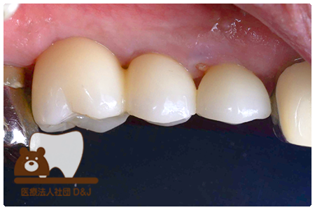
症例1インプラント
治療前

治療後

治療前

治療後

補綴物

治療後

- 治療内容
- 療内容奥歯にインプラントの埋入
- 治療期間
- 3ヶ月
- 費用
- 自費
インプラント体 3本:1本275,000円(税込)×3本=825,000円(税込)
インプラント上部構造(ジルコニア)3本:1本110,000円(税込)×3本=330,000円(税込)
(R7.11月時点)
- その他の治療の費用は含まれておりません。
- リスク・副作用
- インプラントは外科手術を伴うため、術後に腫れや痛み、出血、感染が生じることがあります。術後の指示を守らない場合、症状が悪化する恐れがあります。また、治療後に口腔内の清掃や定期的なメインテナンスを怠ると、インプラント周囲粘膜炎やインプラント周囲炎を引き起こすことがあり、インプラントの脱落につながる可能性があります。
症例2インプラント
治療前

治療後

治療前

治療後

59歳 男性
- 治療内容
- 療内容奥歯にインプラントの埋入
- 治療期間
- インプラント埋入後5か月
- 費用
- 自費
インプラント埋入2本:550,000円(税込)
インプラント上部構造3本:330,000円(税込)
(R5.3月時点)
- その他の治療の費用は含まれておりません。
- リスク・副作用
- インプラントは外科手術を伴うため、術後に腫れや痛み、出血、感染が生じることがあります。術後の指示を守らない場合、症状が悪化する恐れがあります。また、治療後に口腔内の清掃や定期的なメインテナンスを怠ると、インプラント周囲粘膜炎やインプラント周囲炎を引き起こすことがあり、インプラントの脱落につながる可能性があります。
症例3インプラント
治療前

治療後


67歳 女性
- 治療内容
- 療内容奥歯にインプラントの埋入
- 治療期間
- インプラント埋入後10か月
- 費用
- 自費
インプラント埋入2本:550,000円(税込)
インプラント上部構造ブリッジ:220,000円(税込)
(R5.2月時点)
- その他の治療の費用は含まれておりません。
- リスク・副作用
- インプラントは外科手術を伴うため、術後に腫れや痛み、出血、感染が生じることがあります。術後の指示を守らない場合、症状が悪化する恐れがあります。また、治療後に口腔内の清掃や定期的なメインテナンスを怠ると、インプラント周囲粘膜炎やインプラント周囲炎を引き起こすことがあり、インプラントの脱落につながる可能性があります。
クラウン
NEW
症例1フルジルコニアクラウン 左下6
治療前

治療後

55歳 男性
- 治療内容
- メタルクラウンを除去し虫歯治療後にフルジルコニアクラウンを装着しました。
- 治療期間
- 2カ月半
- 費用
- 自費
フルジルコニアクラウン:77,000円(税込)
(R8.2月時点)
- その他の治療の費用は含まれておりません。
- リスク・副作用
- 強い力が加わると割れる可能性があります。また、噛み合わせや歯ぎしりの影響で脱離することがあります。
NEW
症例2フルジルコニアクラウン 左上4
治療前

治療後

63歳 男性
- 治療内容
- 根管治療の後でフルジルコニアクラウンを装着しました。
- 治療期間
- 根の治療含めて1カ月半
- 費用
- 自費
フルジルコニアクラウン:77,000円(税込)
(R8.2月時点)
- その他の治療の費用は含まれておりません。
- リスク・副作用
- 強い力が加わると割れる可能性があります。また、噛み合わせや歯ぎしりの影響で脱離することがあります。
NEW
症例3フリジルコニアクラウン 左上6
治療前

治療後

59歳 男性
- 治療内容
- 虫歯で大きく失われた歯に対して、土台としてファイバーコアを使用し、その上にフルジルコニア製の被せ物を装着しました。見た目と強度を両立した自由診療の治療です。
- 治療期間
- 根の治療含めて3カ月半
- 費用
- 自費
フリジルコニアクラウン:77,000円(税込)
(R8.2月時点)
- その他の治療の費用は含まれておりません。
- リスク・副作用
- 強い力が加わると割れる可能性があります。また、噛み合わせや歯ぎしりの影響で脱離することがあります。
症例4フルジルコニアクラウン 左下6
治療前

治療後

37歳 男性
- 治療内容
- 以前のクラウンがセメントの劣化により外れた為その上にフルジルコニア製の被せ物を装着しました。見た目と強度を両立した自由診療の治療です。
- 治療期間
- 1カ月
- 費用
- 自費
フルジルコニアクラウン:77,000円(税込)
(R8.1月時点)
- その他の治療の費用は含まれておりません。
- リスク・副作用
- 硬い素材のため、かみ合う歯に負担がかかることがあります。将来取り外す場合に歯に負担がかかることがあります。強い力が加わると、まれに欠けたり割れたりすることがあります。
症例5フルジルコニアクラウン 右上6
治療前

治療後

46歳 女性
- 治療内容
- 虫歯を削った部分へフルジルコニアクラウンで修復を行いました。
- 治療期間
- 1カ月
- 費用
- 自費
フルジルコニアクラウン:77,000円(税込)
(R8.1月時点)
- その他の治療の費用は含まれておりません。
- リスク・副作用
- 強い力が加わると割れる可能性があります。また、噛み合わせや歯ぎしりの影響で脱離することがあります。
症例6E-maxクラウン 左下3
治療前

治療後

62歳 女性
- 治療内容
- 神経の失活した歯に特殊なセラミック素材の被せ物を装着しました。
- 治療期間
- 2週間
- 費用
- 自費
E-maxクラウン:110,000円(税込)(R7.12月現在)
- その他の治療の費用は含まれておりません。
- リスク・副作用
- 強い力が加わると割れる可能性があります。また、噛み合わせや歯ぎしりの影響で脱離することがあります。
症例7フルジルコニアクラウン
治療前

治療後

43歳 女性
- 治療内容
- 虫歯で大きく失われた歯に対して、土台としてファイバーコアを使用し、その上にフルジルコニア製の被せ物を装着しました。見た目と強度を両立した自由診療の治療です。
- 治療期間
- 5カ月
- 費用
- 自費
フルジルコニアクラウン:77,000円(税込)(R7.12月現在)
- その他の治療の費用は含まれておりません。
- リスク・副作用
- 硬い素材のため、かみ合う歯に負担がかかることがあります。将来取り外す場合に歯に負担がかかることがあります。強い力が加わると、まれに欠けたり割れたりすることがあります。
症例8フルジルコニアクラウン
治療前

治療中

治療後

治療前

治療中

治療後

29歳 女性
- 治療内容
- 銀歯からフルジルコニアクラウンへの修復
- 治療期間
- 根の治療含め3か月
- 費用
- 自費
フルジルコニアクラウン:77,000円(税込)
- その他の治療の費用は含まれておりません。
- リスク・副作用
- 強い衝撃が加わると欠けたり割れたりする可能性があります。また、噛み合わせの状態によっては脱離や周囲の歯への影響が出ることもあります。
症例9歯牙移植・フルジルコニアクラウン
治療前

治療前

治療中(抜歯前)

治療中(抜歯後)

治療中(移植直後)

治療中(根管治療)

治療中(根管治療)

治療中(コア形成後)

治療後

治療後

治療後

67歳 女性
- 治療内容
- 左上7番抜歯→抜歯した右下8番を左上に移植→根管治療→補綴物セット
- 治療期間
- 歯牙移植後半年
- 費用
- 自費
フルジルコニアクラウン:77,000円(税込)
(R5.6月時点)
- その他の治療の費用は含まれておりません。
- リスク・副作用
- 歯牙移植は外科的処置を伴うため、術後に腫れ・痛み・出血・感染などが起こることがあります。また、移植した歯が骨と結合しない、脱落する、神経が失活する可能性もあります。フルジルコニアクラウンは、強い力が加わると欠けたり割れたりすることがあります。噛み合わせや歯ぎしりの影響で脱離する可能性もあります。
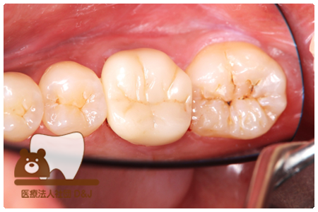
インレー
NEW
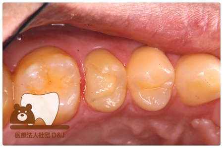
症例1プレスセラミックインレー 右下6
治療前

治療後

46歳 男性
- 治療内容
- メタルインレーを除去し虫歯を削った部分へプレスセラミックインレーで修復を行いました。
- 治療期間
- 3週間
- 費用
- 自費
プレスセラミックインレー:60,500円(税込)
(R8.3月時点)
- その他の治療の費用は含まれておりません。
- リスク・副作用
- 強い力が加わると割れる可能性があります。また、噛み合わせや歯ぎしりの影響で脱離することがあります。
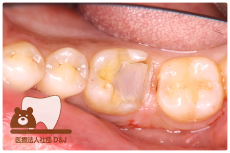
NEW
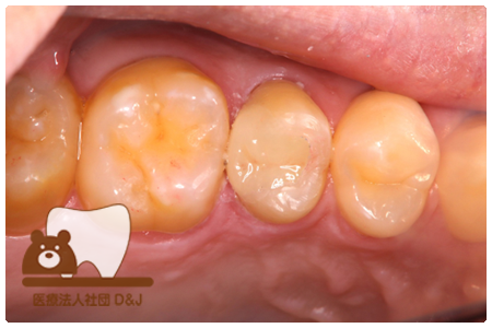
症例2プレスセラミックインレー 右下5
治療前

治療後

65歳 男性
- 治療内容
- 虫歯治療後にプレスセラミックインレーを装着しました。
- 治療期間
- 2週間
- 費用
- 自費
プレスセラミックインレー:60,500円(税込)
(R8.3月時点)
- その他の治療の費用は含まれておりません。
- リスク・副作用
- 強い力が加わると割れる可能性があります。また、噛み合わせや歯ぎしりの影響で脱離することがあります。
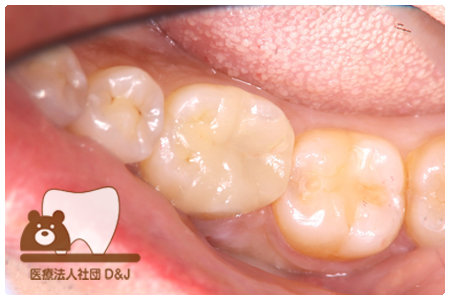
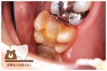
症例3オールセラミックインレー 左下5
治療前

治療後

56歳 男性
- 治療内容
- 虫歯を削った部分へオールセラミックインレーで修復を行いました。
- 治療期間
- 2週間
- 費用
- 自費
オールセラミックインレー:44,000円(税込)
(R8.3月時点)
- その他の治療の費用は含まれておりません。
- リスク・副作用
- 強い力が加わると割れる可能性があります。また、噛み合わせや歯ぎしりの影響で脱離することがあります。
症例4プレスセラミックインレー 左下6
治療前

治療後

46歳 男性
- 治療内容
- メタルインレーを除去し虫歯治療後にプレスセラミックインレーを装着しました。
- 治療期間
- 2週間
- 費用
- 自費
プレスセラミックインレー:60,500円(税込)
(R8.3月時点)
- その他の治療の費用は含まれておりません。
- リスク・副作用
- 強い力が加わると割れる可能性があります。また、噛み合わせや歯ぎしりの影響で脱離することがあります。
症例5オールセラミックインレー 右下6
治療前

治療後

33歳 男性
- 治療内容
- メタルインレーを除去し虫歯治療後にプレスセラミックインレーを装着しました。
- 治療期間
- 2週間
- 費用
- 自費
オールセラミックインレー:44,000円(税込)
(R8.3月時点)
- その他の治療の費用は含まれておりません。
- リスク・副作用
- 強い力が加わると割れる可能性があります。また、噛み合わせや歯ぎしりの影響で脱離することがあります。
症例6プレスセラミックインレー 左上6
治療前

治療後

37歳 男性
- 治療内容
- メタルインレーを除去し虫歯治療後にプレスセラミックインレーを装着しました。
- 治療期間
- 2週間
- 費用
- 自費
プレスセラミックインレー:60,500円(税込)
(R8.3月時点)
- その他の治療の費用は含まれておりません。
- リスク・副作用
- 強い力が加わると割れる可能性があります。また、噛み合わせや歯ぎしりの影響で脱離することがあります。
症例7プレスセラミックインレー 左上6
治療前

治療後

32歳 女性
- 治療内容
- メタルインレーを除去し虫歯治療後にプレスセラミックインレーを装着しました。
- 治療期間
- 2週間
- 費用
- 自費
プレスセラミックインレー:60,500円(税込)
(R8.2月時点)
- その他の治療の費用は含まれておりません。
- リスク・副作用
- 強い力が加わると割れる可能性があります。また、噛み合わせや歯ぎしりの影響で脱離することがあります。
症例8プレスセラミックインレー 左上7
治療前

治療後

57歳 女性
- 治療内容
- メタルインレーを除去し虫歯治療後にプレスセラミックインレーを装着しました。
- 治療期間
- 2週間
- 費用
- 自費
プレスセラミックインレー:60,500円(税込)
(R8.2月時点)
- その他の治療の費用は含まれておりません。
- リスク・副作用
- 強い力が加わると割れる可能性があります。また、噛み合わせや歯ぎしりの影響で脱離することがあります。
症例9プレスセラミックインレー 右上4
治療前

治療後

71歳 女性
- 治療内容
- 以前装着していたメタルインレーが外れた為新しくセラミックで作成しました。
- 治療期間
- 1カ月
- 費用
- 自費
プレスセラミックインレー:60,500円(税込)
(R8.1月時点)
- その他の治療の費用は含まれておりません。
- リスク・副作用
- 強い力が加わると割れる可能性があります。また、噛み合わせや歯ぎしりの影響で脱離することがあります。
症例10ゴールドインレー 左下7
治療前

治療後

50歳 男性
- 治療内容
- 虫歯を削った部分へ、強度もあり天然歯に近い硬さを持つ適合性の高いゴールドインレーを入れました。
- 治療期間
- 1カ月
- 費用
- 自費
ゴールドインレー:66,000円(税込)
(R7.12月時点)
- その他の治療の費用は含まれておりません。
- リスク・副作用
- 強度が高いため、まれに対合歯(かみ合う歯)に負担がかかることがあります。接着剤の劣化や咬合力の影響により、まれに外れることがあります。
症例11オールセラミックインレー 右下6
治療前

治療後

51歳 男性
- 治療内容
- 虫歯を削った部分へセラミックインレーで修復を行いました。
- 治療期間
- 1カ月
- 費用
- 自費
オールセラミックインレー:44,000円(税込)
(R8.1月時点)
- その他の治療の費用は含まれておりません。
- リスク・副作用
- 強い力が加わると割れる可能性があります。また、噛み合わせや歯ぎしりの影響で脱離することがあります。
症例12プレスセラミックインレー 右下6
治療前

治療後

60歳 男性
- 治療内容
- 虫歯を削った部分へプレスセラミックインレーで修復を行いました
- 治療期間
- 1カ月
- 費用
- 自費
プレスセラミックインレー:60,500円(税込)
(R7.12月時点)
- その他の治療の費用は含まれておりません。
- リスク・副作用
- 強い力が加わると割れる可能性があります。また、噛み合わせや歯ぎしりの影響で脱離することがあります。
症例13プレスセラミックインレー 左上7
治療前

治療後

41歳 男性
- 治療内容
- 虫歯を削った部分へプレスセラミックインレーで修復を行いました
- 治療期間
- 1カ月
- 費用
- 自費
プレスセラミックインレー:60,500円(税込)
(R7.12月時点)
- その他の治療の費用は含まれておりません。
- リスク・副作用
- 強い力が加わると割れる可能性があります。また、噛み合わせや歯ぎしりの影響で脱離することがあります。
症例14オールセラミックインレー 右上5
治療前

治療後

36歳 男性
- 治療内容
- 虫歯を削った部分へプレスセラミックインレーで修復を行いました
- 治療期間
- 3カ月
- 費用
- 自費
オールセラミックインレー:44,000円(税込)
(R5.4月時点)
- その他の治療の費用は含まれておりません。
- リスク・副作用
- 強い力が加わると割れる可能性があります。また、噛み合わせや歯ぎしりの影響で脱離することがあります。
症例15プレスセラミックインレー 左上7
治療前

治療後

31歳 男性
- 治療内容
- 虫歯を削った部分へプレスセラミックインレーで修復を行いました
- 治療期間
- 1か月半
- 費用
- 自費
プレスセラミックインレー:60,500円(税込)
(R5.6月時点)
- その他の治療の費用は含まれておりません。
- リスク・副作用
- 強い力が加わると割れる可能性があります。また、噛み合わせや歯ぎしりの影響で脱離することがあります。
症例16E-maxインレー
治療前①

治療前②

治療中①

治療中②

治療中③

治療後

43歳 女性
- 治療内容
- 古い詰め物からE-MAXインレーへの修復
- 治療期間
- 2~3週間
- 費用
- 自費
49,500円(税込)
(R4.10月時点)
- その他の治療の費用は含まれておりません。
- リスク・副作用
- 強い力が加わると割れる可能性があります。また、噛み合わせや歯ぎしりの影響で脱離することがあります。
症例17E-maxインレー・フルジルコニアクラウン
治療前

治療後

34歳 女性
- 治療内容
- 右下6番:フルジルコニアクラウン
右下7番・左下6番と7番:E-maxインレー
- 治療期間
- 右下6番:根の治療を含め6か月
右下7番・左下6番と7番:各2~3週間
- 費用
- 自費
フルジルコニアクラウン:77,000円(税込)(R4.4月時点)
E-maxインレー:49,500円(税込)×3本=148,500円(税込)(R5.5月時点)
- その他の治療の費用は含まれておりません。
- リスク・副作用
- 審美性と耐久性に優れた素材ですが、強い衝撃や過度な力が加わることで割れたり、外れたりする可能性があります。長期的に安定して使用するためには、定期的なメインテナンスと噛み合わせの調整が重要です。
症例18E-Maxインレー
治療前

治療中①

治療中②

治療後

51歳 女性
- 治療内容
- 古い詰め物からE-MAXインレーへの修復
- 治療期間
- 2~3週間
- 費用
- 自費
E-Maxインレー:49,500円(税込)
(R4.10月時点)
- その他の治療の費用は含まれておりません。
- リスク・副作用
- 強い力が加わると割れる可能性があります。また、噛み合わせや歯ぎしりの影響で脱離することがあります。
症例19E-maxインレー
治療前①

治療前②

治療中

治療後

35歳 女性
- 治療内容
- 古い詰め物からE-MAXインレーへの修復
- 治療期間
- 2~3週間
- 費用
- 自費
E-maxインレー:49,500円(税込)
- その他の治療の費用は含まれておりません。
- リスク・副作用
- 強い力が加わると割れる可能性があります。また、噛み合わせや歯ぎしりの影響で脱離することがあります。
症例20E-maxインレー
治療前

治療中①

治療中②

治療後

45歳 女性
- 治療内容
- 銀歯からE-maxインレーへの修復
- 治療期間
- 2~3週間
- 費用
- 自費
E-maxインレー:49,500円(税込)
(R5.8月時点)
- その他の治療の費用は含まれておりません。
- リスク・副作用
- 強い力が加わると割れる可能性があります。また、噛み合わせや歯ぎしりの影響で脱離することがあります。
ホワイトニング
症例1オフィスホワイトニング
オフィス前

オフィス後

24歳 男性
- 治療内容
- オフィスホワイトニング
- 治療回数
- 2回
- 費用
- 自費
オフィスホワイトニング:38500円(税込)
(R6.4月時点)
- その他の治療の費用は含まれておりません。
- リスク・副作用
- 薬剤の影響により施術中や施術後に知覚過敏が起こることがあります。まれに歯ぐきに薬剤が触れることで一時的な刺激感や白濁、炎症が起きる場合があります。









































TEL